
Закрытый перелом правой кости бедра

Травма выявляется по ощущениям и визуально, если возникли отеки или гематомы.
Повреждение вколоченного типа не позволяет больному даже опираться на ногу.
Перелом со смещением возникает в процессе чрезмерной силовой нагрузки на разные участки конечности. Смещения наиболее характерны для людей в возрасте от 55 лет.
Вызвать смещение могут разные патологии, например, остеопения или остеопороз. Наибольшие повреждения касаются самой кости или её вспомогательных частей.
Перелом со смещением бывает:
- С повреждением проксимальной части, симптоматика которого начинается с боли в паху. Второй симптом — возникает эффект «липкой пятки», когда пострадавший в положении лежа не может поднять ногу.
- Средней трети. Сопровождается острой болью и появлением гематом. Отломки кости вкалываются в сосуды, что вызывает внутреннее кровотечение. Есть вероятность, что травма средней трети со смещением приведет к уменьшению длины травмированной конечности.
- Нижней трети. Болевые ощущения незначительны, сконцентрированы в колене и вызывают его отек. У пациента конечность вытягивается вдоль собственной оси, отломанные костные части тоже вызывают обильную потерю крови.
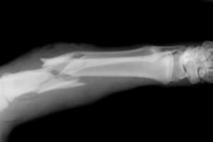
Врачи отмечают, что закрытый перелом правого бедра является серьезной травмой, требующей внимательного подхода к диагностике и лечению. Специалисты подчеркивают важность своевременного обращения за медицинской помощью, так как неправильное или запоздалое лечение может привести к осложнениям, таким как неправильное сращение костей или развитие остеонекроза. Врачи рекомендуют проводить тщательное обследование, включая рентгенографию, для определения степени повреждения.
Лечение обычно включает иммобилизацию с помощью гипса или оперативное вмешательство, в зависимости от характера перелома. Реабилитация также играет ключевую роль в восстановлении функции конечности, и врачи советуют пациентам не пренебрегать физической терапией. В целом, при правильном подходе к лечению и реабилитации, прогноз для пациентов с закрытым переломом бедра может быть весьма благоприятным.

Начальная медицинская помощь
Нужно минимизировать движения конечности за счет шины Дитерихса. Если рядом нет аптеки или специального магазина, то подобную конструкцию можно соорудить самостоятельно. За основу можно взять обычные доски или куски фанеры, наличие лыж будет большим плюсом.
При фиксации обратите внимание на 3 части: коленный сустав, голень и тазобедренный сустав. Накладка не должна соприкасаться с потенциальным местом повреждения, чтобы не сдавливать сосуды.
Если нет возможности зафиксировать ногу пациента с помощью шины, то можно плотно обмотать обе ноги, фиксируя больную и здоровую. Выполнить процедуру можно плотным полотенцем или элементами одежды.
Избавиться от болевого шока помогут лекарственные препараты (например, морфин или промедол), их наличие вне медицинского учреждения маловероятно. В качестве аналога подойдет анальгин или кеторол. Можно предложить человеку 50 грамм крепкого алкоголя.
Доставка больного в травмпункт только в горизонтальном положении, чтобы не допустить деформации фрагментов кости. Пренебрежение этим правилом чревато тяжелыми осложнениями и дальнейшей потерей способности к передвижению.
Закрытый перелом правого бедра — это серьезная травма, о которой многие говорят с опасением. Люди отмечают, что восстановление после такого перелома требует времени и терпения. Часто упоминается, что боль может быть интенсивной, особенно в первые дни после травмы. Многие делятся опытом реабилитации, подчеркивая важность физической терапии для восстановления подвижности и силы.
Некоторые отмечают, что поддержка близких играет ключевую роль в процессе выздоровления. Люди также обсуждают необходимость соблюдения рекомендаций врачей и регулярных контрольных обследований. Важно помнить, что каждый случай индивидуален, и восстановление может занять от нескольких месяцев до года. Несмотря на сложности, многие находят в себе силы и мотивацию вернуться к активной жизни, что вдохновляет других, столкнувшихся с подобной проблемой.
Лечение
Лечение включает использование разных хирургических элементов (вытяжение, штифты.).
В проксимальной части кости наибольшее повреждение получает шейка, восстановление которой требует операции. Для молодых людей используют методы консервативной терапии и ношение гипса на протяжении 8 — 10 недель.
После снятия гипса все передвижения осуществляются на костылях, изолируя поврежденную ногу. Полное восстановление после травмы происходит через 50 — 60 недель.
Реабилитацию после травмы нужно начинать сразу, после снятия гипса. Процесс восстановления включает физиотерапию, лечебный массаж и физкультуру.
Рекомендуется плавно повышать нагрузку, чтобы не вызвать осложнений. Ключ к скорейшему выздоровлению находится в постоянстве.

Вопрос-ответ
Каковы основные симптомы закрытого перелома правого бедра?
Основные симптомы закрытого перелома правого бедра включают сильную боль в области бедра, отек, синяки, ограничение подвижности ноги и деформацию конечности. Пациенты могут испытывать трудности при попытке встать или передвигаться.

Как проводится диагностика закрытого перелома правого бедра?
Диагностика закрытого перелома правого бедра обычно начинается с физического осмотра, после чего назначаются рентгенографические исследования для подтверждения диагноза. В некоторых случаях может потребоваться МРТ или КТ для более детального изучения повреждений.
Каковы методы лечения закрытого перелома правого бедра?
Лечение закрытого перелома правого бедра может включать консервативные методы, такие как иммобилизация с помощью гипса или шины, а также хирургические вмешательства, такие как остеосинтез. Выбор метода зависит от типа и степени тяжести перелома.
Советы
СОВЕТ №1
Обратитесь к врачу сразу после травмы. Закрытый перелом правого бедра может требовать немедленного медицинского вмешательства. Не откладывайте визит к специалисту, чтобы избежать осложнений и обеспечить правильное лечение.
СОВЕТ №2
Следуйте рекомендациям по реабилитации. После лечения перелома важно соблюдать программу реабилитации, назначенную врачом. Это поможет восстановить подвижность и силу мышцы, а также предотвратить повторные травмы.
СОВЕТ №3
Используйте вспомогательные средства. На начальных этапах восстановления может потребоваться использование костылей или ходунков. Это поможет снизить нагрузку на поврежденную ногу и ускорить процесс заживления.
СОВЕТ №4
Обратите внимание на питание. Правильное питание, богатое кальцием и витамином D, способствует укреплению костей и ускоряет процесс восстановления. Включите в рацион молочные продукты, зелень и рыбу.
