
Если в случае совершения преступления, избежать его достаточно сложно, то находясь на охоте это сделать просто.
Лечение

- Нужно убедиться, что пострадавший и помогающие люди находятся в безопасности. Если ранение произошло в процессе преступления, нужно убедиться, что преступник не представляет никакой угрозы.
- При возникновении несчастного случая на стрельбах в лесу или на охоте, оружие должно быть полностью разряженным, находиться на безопасном расстоянии и не направляться на людей.
- Совершить звонок в службу скорой помощи (103 с мобильного телефона). Сообщить информацию о пострадавшем.
- При отсутствии острой нужды, не передвигать пострадавшего. Поскольку можно усугубить и без того печальное положение жертвы. Приподнимать раненого человека можно в случаях, когда присутствует полная уверенность того, что в процессе попадания пули или осколка не был задет позвоночник.
- Нельзя поддаваться панике, поскольку она будет работать против жертвы и людей, пытающихся помочь. Если не удаётся подавить свою панику, нельзя её показывать, поскольку паника среди людей распространяется быстро.
- С помощью плотной ткани, сложенного в несколько слоёв бинта или марли оказать давление на саму рану. Если кровотечение не удалось остановить в течение 10 минут, необходимо проверить расположение раны и, при необходимости, подобраться к ней с другого места.
- При обильном, не останавливающемся кровотечении, нужно выполнить перевязку. На кровоточащее место накладывается ткань, марля или сложенный бинт и оборачивается вокруг тела, чтобы оказать нужное давление. Слишком туго перетягивать рану нельзя, поскольку существует вероятность допустить остановку циркуляции крови.
- В случае замерзания пострадавшего человека необходимо укрыть дополнительными слоями одежды.
- Некоторые начинают приподнимать ноги пострадавшего. При ранениях в туловище, допускать этого нельзя, поскольку существует реальный риск повреждения позвоночника.
- В случае нахождения пострадавшего человека в сознании, его необходимо постоянно подбадривать, это важно.
- Не нужно отлучаться от раненного человека, необходимо его постоянно обогревать и успокаивать, вплоть до прибытия медицинской помощи.
- Если кровь вокруг огнестрельной раны свернулась, это хороший знак и удалять свёрнутую кровь нельзя. Она послужит пробкой и не даст крови вытекать дальше.
- В случае, когда ранению подверглась какая-либо конечность и остановить кровь обычными способами не получается, можно наложить жгут. Жгут необходимо оборачивать достаточно туго, чтобы полностью остановить кровь. По истечении каждых 10-15 минут жгут необходимо ослаблять на пару минут, чтобы избежать полного омертвения конечности.
- Если пострадавший не дышит, необходимо сделать искусственное дыхание.
Врачи подчеркивают, что первая помощь при огнестрельном ранении должна быть оказана как можно быстрее. Основное внимание следует уделить остановке кровотечения. Для этого рекомендуется наложить давящую повязку на рану, используя стерильные материалы, если они доступны. Важно избегать удаления инородных тел, так как это может усугубить повреждение. Если рана обширная, следует использовать жгут, но только в крайних случаях и не более чем на два часа. Врачи также советуют поддерживать пострадавшего в спокойном состоянии, чтобы минимизировать риск шока. После оказания первой помощи необходимо как можно быстрее вызвать скорую помощь для профессионального лечения.

Виды

- Осколочные — нанесённые осколками гранаты, мины, бомбы или другого взрывного устройства.
- Пулевые — нанесённые человеку с использованием огнестрельного оружия, такого как пистолеты, ружья, автоматические винтовки и другие.
По виду канала:
- Сквозные — раны в результате входа пули или осколка с одной стороны тела и выхода с другой стороны. Тип ранения имеет высокую опасность для жизни.
- Касательное — поверхностное повреждение кожи и нервов, несёт наименьшую опасность человеческой жизни.
- Слепое — такой вид раны имеет вход в человеческое тело, но не имеет выхода. Представляет серьёзную опасность, поскольку осколок или пуля, находясь в организме, могут принести больший вред, чем при непосредственном ранении.

Попадание в грудь

Есть шанс повреждения лёгких или даже сердца.
При попадании в сердце шансов выжить у человека нет.
При попадании пули в ребро, лопатку или грудину, кости могут сильно раздробиться с появлением множества костных осколков, усугубляющих и без того печальное положение пострадавшего. Ранения в грудную клетку сопровождаются сильным болевым шоком, возможен мгновенный летальный исход.
В случае попадания осколка или пули в лёгкое, у пострадавшего может начаться сильная нехватка кислорода, вследствие его выхода через появившееся отверстие.
Мнения людей о первой помощи при огнестрельном ранении варьируются от уверенности в своих знаниях до страха перед неправильными действиями. Многие считают, что в экстренной ситуации важно действовать быстро, но не все знают, как именно. Некоторые утверждают, что основное — это остановить кровотечение, используя подручные средства, такие как чистая ткань или бинт. Другие подчеркивают важность вызова скорой помощи, так как профессиональная медицинская помощь необходима для дальнейшего лечения.
Существуют также мнения о том, что обучение первой помощи должно быть обязательным в школах и на рабочих местах, чтобы каждый мог оказать помощь в критической ситуации. Люди делятся личными историями, когда знания о первой помощи спасали жизни, и это подчеркивает важность подготовки. В целом, общественное мнение сходится на том, что знание основ первой помощи может сыграть решающую роль в спасении жизни.

Видео
https://youtube.com/watch?v=BEq5DeV8Xsg
В живот

Пострадавший гарантированно получает сильное повреждение одного или нескольких внутренних органов — мочевой пузырь, желудок, печень и других органов, находящихся в районе живота.
Есть шанс повреждения или даже отказа нижних конечностей. При попадании патрона или снаряда в тазобедренную кость, положение пострадавшего усложнится переломом данных костей с появлением большого количества костных осколков.
В случае застревания пули в животе, найти и изъять её становится сложной, а иногда невыполнимой задачей.
Вероятность летального исхода при огнестрельном попадании в живот достаточно высока. Есть вероятность занесения инфекции в организм.
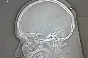
Повреждение черепной коробки

Выживший при огнестрельном попадании в голову, станет калекой на всю оставшуюся жизнь. Он может частично или полностью лишиться возможности к мыслительной деятельности, быть частично или полностью парализованным, лишиться слуха, зрения или других чувств.
Пострадавший может впасть в состояние комы, в котором он проведёт оставшуюся жизнь.
Ранение в голову часто сопровождается:
- Потерей сознания или оцепенением;
- Рвотой;
- Резким изменением пульса;
- Повышенной или пониженной температурой тела;
- Частым дыханием;
- Ушибом и даже омертвением мозга;
- Попаданием в мозг осколков черепных костей.
Смерть человека наступает стремительно.
Огнестрельные повреждения — это серьезная травма. Спасти человека получается не во всех случаях, даже если была проведен первая медицинская помощь.
Вопрос-ответ
Что делают при огнестрельном ранении?
Первая помощь при любых ранах представляет собой комплекс мероприятий: срочная эвакуация в безопасную зону, временная остановка кровотечения (тугое тампонирование, давящая повязка, жгут), доставка пострадавшего в медицинское учреждение.
Какая первая помощь нужна при огнестрельном ранении грудной клетки?
При отсутствии в ране инородного предмета прижми ладонь к ране и закрой в нее доступ воздуха. Если рана сквозная, закрой входное и выходное раневые отверстия. Закрой рану воздухонепроницаемым материалом (герметизируй рану), зафиксируй этот материал повязкой или пластырем. Придай пострадавшему положение «полусидя».
В каком порядке проводится первая помощь при ранении?
Общий алгоритм действий при ранениях: визуальная оценка его состояния, вызов бригады «Скорой помощи», попытки остановить кровотечение до приезда медработников, наложение повязки (если это необходимо).
Советы
СОВЕТ №1
При огнестрельном ранении важно немедленно вызвать скорую помощь. Не пытайтесь самостоятельно транспортировать пострадавшего в больницу, так как это может усугубить его состояние. Убедитесь, что вы предоставили оператору все необходимые детали о происшествии.
СОВЕТ №2
Если рана кровоточит, примените прямое давление на нее с помощью чистой ткани или бинта. Если кровь продолжает течь, не снимайте первоначальную повязку, а добавьте новый слой, чтобы избежать дальнейшего повреждения тканей и уменьшить риск инфекции.
СОВЕТ №3
Не удаляйте видимые осколки или пули из раны, так как это может вызвать дополнительное повреждение и усилить кровотечение. Оставьте их на месте и зафиксируйте рану, чтобы предотвратить движение инородного тела.
СОВЕТ №4
Следите за состоянием пострадавшего. Если он теряет сознание или у него возникают проблемы с дыханием, будьте готовы к проведению сердечно-легочной реанимации (СЛР) до прибытия медицинской помощи. Знание основ СЛР может спасти жизнь.
