
Почему нужно удаление
Во время оперативного вмешательства по поводу установления позиционного винта врачи осуществляют:
- Репозицию кости (соединения в одно единое целое).
- Остеосинтез (состоит во временной фиксации, например спицами).
- Иммобилизацию стопы (обездвиживание). Выполняется замена фиксирующих элементов на винты или пластины. Гипсовая повязка не блещет удобством, во время ее ношения наблюдается атрофия мышечных волокон, закупорка вен, нарушение местного кровообращения и трофики тканей. Введение же металлической конструкции в наружную лодыжку позволяет больному двигаться уже на вторые сутки после операции.
Врачи отмечают, что перелом лодыжки является одной из наиболее распространенных травм, особенно среди активных людей и спортсменов. Основными причинами таких травм являются падения, неудачные прыжки или резкие повороты. Специалисты подчеркивают важность своевременной диагностики и лечения, так как неправильное обращение с травмой может привести к долгосрочным осложнениям, включая хроническую боль и ограничение подвижности. Врачи рекомендуют не игнорировать симптомы, такие как отек, боль и затрудненное движение. В большинстве случаев лечение включает иммобилизацию, а в более сложных ситуациях может потребоваться хирургическое вмешательство. Реабилитация также играет ключевую роль в восстановлении, и врачи советуют пациентам следовать рекомендациям для достижения наилучших результатов.

Влияние на организм
Винты — инородные элементы для организма человека. Для устранения риска возникновения раздражений и процессов воспалительного характера при их изготовлении используются специальные материалы — сплав титана и стали. Это химический состав, который используется только в хирургической практике.
Однако этот металл также неустойчив к воздействию коррозии при условии его длительного пребывания в середине голеностопного сустава. В результате наблюдается снижение уровня рН среды, рост концентрации титана, никеля, железа и хрома в тканях и формирование воспаления.
Учитывая паспортные данные винта, врачи определяют, в каком количестве находятся металлы в сплаве. С целью недопущения коррозии металлов и вызванного ею замедления процесса сращивания кости высчитываются критические сроки пребывания винта в костной ткани.
Показания для удаления
Удаление фиксатора может происходить не ранее 6 недель и не позднее 1 года. Срок его ношения определяется на основе данных рентгенологического исследования. При преждевременном удалении винта может наблюдаться расхождение костей и формирование обломков.
Основные показания к его удалению это:
- правильный рост кости;
- смещение, деформация деталей конструкции;
- формирование процесса воспалительного характера в месте хирургического вмешательства (о нем может указывать появление гнойных выделений);
- ограничение подвижности сустава (удаление фиксатора ускорит восстановление мышечных волокон и сухожилий);
- плохое качество фиксатора (такие ситуации характерны для случаев экстренных операций, например, после ДТП);
- потребность в занятиях спортом (при травматическом повреждении фиксатор может сломаться, что затруднит установку нового при повторной операции).
Перелом лодыжки — это травма, о которой часто говорят как о довольно распространенной, особенно среди активных людей и спортсменов. Многие отмечают, что такая травма может произойти в самый неожиданный момент, например, при неудачном падении или резком повороте. Люди делятся своими историями о восстановлении, подчеркивая, что реабилитация требует времени и терпения. Некоторые отмечают, что после перелома они стали более осторожными и внимательными к своему телу. В то же время, многие говорят о том, как важно следовать рекомендациям врачей и не пренебрегать физической терапией. Перелом лодыжки может стать серьезным испытанием, но для многих это также возможность переосмыслить свои привычки и подход к спорту.

Как происходит снятие
Часто удаление металлической конструкции из лодыжки с нарушением межберцового синдесмоза проводится на 6 неделе. Благодаря этому, удается ускорить процесс восстановления связочного аппарата. Снижается риск сращивания большеберцовой с малоберцовой костью, формирования артроза. Однако сроки снятия фиксатора определяются хирургом для каждого пациента.
Процедура снятия продолжается в течение 1-2 часов. Проводится обезболивание сустава блокадой на основе Лидокаина, после этого фиксаторы откручиваются хирургическими плоскогубцами, и накладывается косметический шов.
Лечение тяжелых переломов путем установки позиционного винта принято называть в медицинской практике «золотым стандартом». После его снятия на восстановление больному не нужно много времени.
Виды травм и их признаки
Перелом лодыжки — нарушение целостности сустава, провоцировать которое может усиленный поворот стопы внутрь, опущение свода стопы, отведение ее или к центральной оси тела, или от нее.
При травматическом повреждении лодыжки нужно быстрее предоставить больному помощь, прежде всего, проводится иммобилизация конечности и транспортировка пострадавшего в медицинское учреждение. Для оказания адекватной помощи нужно определить особенности повреждения лодыжки.
Переломы бывают:
- Открытые. Присутствуют раны, которые кровоточат, и костные осколки в них. Наблюдается формирование отечных процессов и деформация ноги.
- Закрытые. Наблюдается изменение окраски кожи ноги, она становится синюшной и отечной, а конечность — деформированной. При попытке осуществить движение или нажатиии появляется нестерпимая боль. Голень становится подвижной в нетипичных местах, принимая неестественные положения.
- Со смещением. В результате нарушения целостности дельтовидной связки стопа занимает неестественное положение по отношению к центральной оси тела.
Переломы могут провоцировать развитие болевого шока — состояния, которое возникает в результате массивных повреждений конечностей с последующим их сдавлением. Подобные ситуации наблюдаются при дорожно-транспортных происшествиях, падении тяжелых предметов на ноги.
Такие состояния могут нести угрозу жизни пострадавшего, поэтому требуют предоставления безотлагательной помощи и немедленного введения анальгетиков и даже наркотиков.
Переломы лодыжки в медицинской практике принято квалифицировать в зависимости от механизма травмы и локализации.
Повреждения по отношению к синдесмозу может находиться:
- выше;
- ниже;
- в его пределах.
Синдесмоз — твердые неподвижные сочленения костей, которые в результате травмирования начинают двигаться.
При повреждениях, локализованных ниже синдесмоза, травма может быть:
- изолированной разрывом связочного аппарата (без нарушения целостности костей);
- переломом медиальной лодыжки;
- переломом стенки медиального канала лодыжки.
В случае повреждения малоберцовой кости на уровне синдесмоза может наблюдаться:
- изолированный перелом малоберцовой кости;
- повреждение медиальной части малоберцовой кости;
- повреждение медиальной части малоберцовой кости и перелом задней части латеральной лодыжки.
Травмы, расположенные выше синдесмоза, могут проявляться переломом:
- диафизарной части малой берцовой кости;
- диафизарной части малой берцовой кости с осколками;
- малой берцовой кости в проксимальном отделе.
Перелом лодыжки в направлении бывает:
- пронационный;
- супинационний;
- ротационный.
Независимо от типа травматического повреждения наблюдается появление отечности, спровоцированной повреждением капилляров, функциональная обязанность которых — обеспечение обменных процессов между кровью и тканями.
При пальпаторном обследовании в области отека наблюдается образование продавливаний (ямок), которые впоследствии возвращаются в исходное состояние. Специфический хруст ощущается в момент получения травмы.
В травматологии выделяют переломы:
- двухлодыжечные (сопровождаются повреждением обеих лодыжек);
- трехлодыжечные (наблюдается повреждение медиальной и латеральной лодыжки, задней части большеберцовой кости).
Независимо от случая происходит повреждение дельтовидной связки. Появляется боль, интенсивность которой зависит от сложности травмы (тяжелее всего переносится перелом в сочетании с вывихом). Болезненность может беспокоить сразу или через некоторое время.

Сроки больничного
Продолжительность пребывания травмированного человека на больничном определяется врачами, все зависит от вида повреждения сустава и осложнений. В тяжелых случаях больничный лист может быть продлен до 10 месяцев. Смещение костей — фактор, который влияет на продолжительность выздоровления и реабилитации.
| Вид | Без смещения кости (в днях) | Со смещением кости (в днях) |
| Закрытый перелом медиальной лодыжки | 40-45 | 60-65 |
| Закрытый перелом латеральной лодыжки | 40-45 | 65-75 |
| Закрытый двухлодыжечный перелом | 70-80 | 100-115 |
| Закрытый трехлодыжечный перелом | 100-110 | 120-160 |
| Открытый двухлодыжечный перелом | 105-120 | 120-160 |
Сроки больничных листов определены законами Российской Федерации. При первичном обращении за медицинской помощью больному выдается бюллетень на 10 суток. За это время проводится обследование, постановка диагноза, уточняются сроки, необходимые для лечения и реабилитации перелома лодыжки и на оформление больничного листа.
Дольше всего человек может находиться на больничном 120 дней. При отсутствии возможности приступить к выполнению профессиональных обязанностей решается вопрос продления больничного листа на такое же время, однако осуществляется это уже медико-социальной экспертной комиссией. Если не наблюдается улучшения, решается вопрос о предоставлении пациенту временной инвалидности.
При улучшении состояния больного и его выходе на работу больничный лист продлевается на время, необходимое чтобы до нее добраться (в случае лечения в другом городе).
Оперативное вмешательство
Показание к консервативному лечению — закрытый перелом без смещения и осколков. В противоположном случае появляется необходимость проведения оперативного вмешательства.
При внутрикостном остеосинтезе используются стержни, накостном — пластины, которые фиксируются винтами, а при чрескостном выполняется введение спиц и винтов. Во время операции используется направляющий аппарат и тонкие спицы, которые травмируют кожу только в местах их ввода. Перед хирургическим вмешательством проводится рентгенологическое обследование конечности или МРТ с целью определения степени повреждения кости и прилегающих тканей.
Если операция проводится на латеральной лодыжке, хирург осуществляет разрез в области внешней части голеностопного сустава. Путем удаления кровяных сгустков обеспечивается доступ к кости. Проводится сопоставление костных осколков и дальнейшая их фиксация пластинами и винтами.
Операция на медиальной лодыжке проводится аналогично, однако разрез осуществляют на внутренней части голени, а фиксация — спицами и винтами.
При отсутствии повреждений дельтовидной связки и сохранении вилкой анатомически правильного положения осуществляется операция вправления медиальной, а затем латеральной лодыжки. При смещении вилки выполняется остеосинтез медиальной лодыжки. В итоге на конечность накладывается гипс.
Виды повреждения

Если говорить в общем, наступать на ногу можно будет только тогда, когда врач зафиксирует полное сращение костей.
Лодыжка — это отросток кости, который помогает образованию голеностопного сустава. Часто травмирование лодыжки происходит после неожиданного падения на ногу или на тренировочном процессе.

- Открытого типа. При нем пациент может самостоятельно увидеть оголенную кость. Такие переломы связаны с разрывом тканей.
- Закрытого типа. Не видно костей и на большом участке ноги расплывается синяк.
Закрытый характеризуется большой отечностью и опухолью поврежденной зоны. Больной не в состояние самостоятельно выполнять движения стопой.
Для лечения поврежденного участка проводится обезболивание путем применения местной анестезии и накладывание гипса. Для этого пациент должен находиться в сидячем состоянии и нога должна свободно свисать вниз.
Симптомы и признаки

Характерные признаки:
- Острые болевые ощущения.
- Деформирование лодыжки.
- Изменения цвета кожного покрова ноги в сторону красноватой.
- Синюшные проявления или гематомы.
Указанные симптомы не всегда проявляются. К примеру, иногда замедления пациентов по вопросу обращения к врачу связаны с тем, что они не ощущают никаких боли в области лодыжки. На ней проявляется небольшая синюшность, которую связывают с растяжением.
Иногда проблематичность своевременного диагностирования перелома связана с индивидуальными особенностями кости.
При переломе лодыжки больной не сможет стоять на ноге, а кожа будет выглядеть сильно натянутой. Возможность сгибания и разгибания конечностей отсутствует, а при попытке это сделать появляется жгучая боль.
Перелом без смещения тяжело диагностируется самостоятельно. При появлении малейших на то признаков необходимо обратиться к травматологу за помощью.
Только специалист может вовремя распознать причину боли — для подтверждения диагноза направить больного на рентгенографию.
Особенности перемещения

При этом длительность ношения гипсовой повязки составляет 2-3 месяца. Полноценная нагрузка на ногу возможна через 3-4 месяцев после снятия гипса. Будь это внешний (наружный) или внутренний перелом лодыжек.
Для быстрейшего заживления травмированной (наружной или внутренней) части рекомендовано выполнение следующих мероприятий:
- Соблюдение диеты, обогащенной кальцием;
- Проведение массажа, лечебной гимнастики;
- Применение физиотерапевтических процедур;
- При необходимости соблюдение постельного режима.
Больной обязан все время уделять самостоятельной разминке больного места. Проведение упражнений позволит увеличить скорость восстановления травмированного места.
Эффективное лечение

Консервативные методы:
- Обеспечение полной неподвижности ноги;
- Накладывание лонгета, фиксирование его бинтом;
- Накладывание бинта проводится в направлении сверху вниз, его толщина должна быть со всех сторон одинаковой.
Наложение гипсовой повязки

Длительность ношения гипса составляет около полутора месяцев и полностью зависит от степени тяжести травмирования и возрастной категории пациента.
После рентгенографии, которая покажет, что кость восстановилась, можно уже снимать гипс.
Врачи считают, что после снятия гипса постепенно нужно восстанавливать ногу — можно на нее наступать. При гипсе лучше не совершать никаких резких движений, ведь кость срастается медленно.
Смещенные травмы

Врачи проводят лечение:
- Мероприятия по приданию костям первоначального положения;
- Гипсование под местным наркозом.
Возможные осложнения
При переломе лодыжки со смещением происходит повторяющееся смещение обломков. При лечении врач будет неоднократно направлять пациента на рентген и объяснять, как вести себя при возникновении резкой боли. Это необходимо для контроля срастания травмированного места.
Указанный перелом является самым сложным из всех и иногда требует оперативного вмешательства, которое позволяет придать голеностопному суставу правильное положение и восстановить мягкие ткани и связки.
Подготовительным этапом к операции может быть скелетное вытяжение, которое позволяет предотвратить смещение обломков. Для этого проводится спица через пяточную кость левой или право ноги, и к ней подвешивается груз в 12 кг.
Длительность вытяжки составляет месяц, проводится гипсование травмированного места. При оперативном вмешательстве перелом фиксируется металлической конструкцией.
Длительность заживления
- При переломе лодыжек со смещением заживает 2-3 месяца;
- При тяжелых формах перелома — 3-5 месяцев.
Реабилитация после перелома лодыжки предусматривает проведение массажа и комплекса лечебной физкультуры.
Боковые травмы
Характеризуется наиболее сильными болевыми ощущениями и происходит смещение обломков кости кнаружи или кзади.
Накладывание гипса проводится под действием местной анестезии, обломок устанавливается на первоначальное место.
Первые попытки ходьбы больной может пробовать уже на 3-й день болезни. Общая длительность лечения составляет 6 недель.
Первая медицинская помощь
Если сломана конечность или имеется трещина, то следует действовать:
- Максимально успокоить пострадавшего.
- Вызвать скорую.
- Минимизировать возможность наступания на поврежденную конечность.
- Обеспечить свободу поврежденному месту: снять обувь, убрать обломки любого вида.
- Обеспечить поврежденному месту удобное положение. Достаточно положить под ногу мягкий валик. При этом его высота не должна вызывать дискомфорта. Это помогает минимизации отечности.
- При видимом открытом переломе не разрешайте пострадавшему самостоятельно дотрагиваться до раны.
- В случае кровотечения обложите травмированное место льдом и наложите жгут. При этом не забывайте через каждые 20 минут снимать его. Иначе может произойти некротизация ткани.
- Прикладывайте холод. Это поможет остановить кровотечение и уменьшить отечность тканей.
- Наложите импровизированную шину, которая может быть как обычной веткой, так и фанерой. Придайте ноге максимальную неподвижность.
- В случае невозможности прибытия скорой проведите транспортировку больного самостоятельно с предельной осторожностью.
Реабилитационно-восстановительные меры

Он требует оперативного лечения.

Рекомендации:
-
- Это обеспечивается назначением минимальных нагрузок на ногу. Нагрузки при переломе со смещением разрешены через 2 недели после начала лечения. Используются приемы лечебной физкультуры, массаж открытой части конечности и здоровой ноги.
- Используются физиотерапевтические методы — лазеротерапия, УВЧ, лечение магнитом. Через месяц дается нагрузка в большей степени — ходьба с поддержкой и без. Используются приемы ЛФК и физиотерапии. Если сломали обе лодыжки, сроки реабилитации немного увеличиваются.
- После окончания лечения назначается восстановительная гимнастика. Гимнастические упражнения начинаются с минимальной нагрузки с постепенным ее увеличением. Цель лечебной гимнастики — восстановление эластичности связок и мышц конечности. Из первоначальных методов используются махи ногами в стороны, вращения ноги в голеностопном суставе. Постепенно нагрузка увеличивается и назначается дозированная ходьба, затем бег на беговой дорожке.
- Параллельно с лечебной гимнастикой проводится физиотерапия, направленная на восстановление связок и мышц путем улучшения кровоснабжения в поврежденной области.
- Реабилитация после перелом заключается в правильном питании. В рацион включается мясная и молочная пища — богатая белком и кальцием, веществами, нужными для скорейшего восстановления костной ткани.
Почему случается

При пронационном переломе стопа выворачивается кнаружи. И возникают повреждения:
- Поперечный отрыв лодыжки;
- Перелом наружной лодыжки в косом направлении — этот вариант и характеризуется смещением отломков;
- Разрыв всех связок голеностопного сустава — к перелому лодыжки присоединяется вывих стопы.
Супинационный перелом происходит при подворачивании стопы внутрь.
Может произойти:
- Поперечный отрыв наружной лодыжки;
- Косой перелом внутренней лодыжки со смещением;
- Разрыв связок и вывих стопы.
Если же происходит падение на стопу с высоты, можно получить повреждение обеих лодыжек сразу — двойной перелом со смещением. Чаще человек приземляется на обе ноги, поэтому ломаются обе лодыжки сразу.
Клинические проявления
- Резко выраженный болевой приступ в области голеностопного сустава.
- Быстро нарастает отек.
- При переломе наружной лодыжки стопа отклоняется кнаружи. Здесь можно заметить выраженное натяжение кожи и пропальпировать или увидеть смещенные отломки кости.
- Перелом внутренней лодыжки приводит к отклонению стопы внутрь. Будет наблюдаться кожное натяжение и отломки кости. Если к переломам лодыжки присоединяется вывих, то стопа еще отклонится вниз. Любое движение — вызывает усиление боли.
- При повреждении сосудов может наблюдаться быстро увеличивающаяся гематома в области травмы.
- Массивного кровотечения не бывает, но может развиться смешанный шок — и гемодинамический, и болевой.
- Будет отмечаться падение артериального давления, учащение пульса, бледность кожи. Чаще это наблюдается при переломе обеих лодыжек сразу.
Рентген

Поперечный перелом обычно не сопровождается смещением, а при косом переломе можно обнаружить смещение отломков относительно друг друга.
Первая помощь

- Для профилактики дальнейшего смещения отломков обеспечивается иммобилизация поврежденной конечности.
- Для этого на ногу от стопы до коленного сустава накладывается шина — деревянная, проволочная или пневматическая.
- При сильной загрязненности — нужно промыть ногу, лучше раствором антисептика. Это делается перед наложением шины.
- При сильном кровотечении на голень накладывается жгут, не более чем на 2 часа.
- Обезболивание проводится только приемом препаратов внутрь. Анальгетики в инъекциях не рекомендуются в связи с возможным инфицированием места перелома.
- При явлениях шока необходима поддержка сердечной деятельности и инфузионная терапия. Эти мероприятия выполняются медицинскими работниками прямо на месте травмы.
Видео
Хирургическое и иное вмешательство

После снятия гипса необходим курс препаратов, содержащих кальций, для укрепления костной ткани.
Консервативный способ
Консервативно можно лечить простой перелом. Для этого используется репозиция отломков руками, накладывается гипсовая повязка.
Перед этой процедурой местное обезболивание раствором новокаина. Затем делается рентгеновский снимок для подтверждения качества репозиции, назначается постельный режим с возвышенным положением ноги.
Периодически проводится рентгеновский контроль срастания перелома. Нагружать ногу обычно разрешается через месяц лечения. Полное восстановление функции конечности и срастание костей наблюдается через 4 месяца.
Скелетное вытяжение
При сложных переломах используется скелетное вытяжение. Через месяц лечения скелетным вытяжением на ногу накладывается гипс и держится еще около 2 месяцев.
Периодически проводится контроль срастания отломков. Восстановление целостности кости наблюдается в сроки от 4 до 5 месяцев.
Оперативный способ
Оно назначается когда репозицию смещенных отломков кости невозможно сделать ни руками, ни скелетным вытяжением. Суть операции с пластиной заключается в сопоставлении отломков открытым способом и наложении на них металлической пластины.
Она закрепляется на кости винтами. Пластина выполняет роль фиксатора лодыжки в правильном положении. В послеоперационном периоде на конечность накладывается гипсовая повязка, сроком на 4 недели.
Периодически проводится рентген-контроль срастания. Сложные переломы срастаются дольше, около полугода.
Как восстанавливать ногу после перелома лодыжки

Реабилитация после перелома лодыжки длится от нескольких недель до месяца.
Во время ношения гипса у пациентов будут осложнения. Если же их не наблюдалось, то восстановительный период начинается через 2 месяца. Затем происходит второй этап лечения. В этот период врач назначает терапию для восстановления подвижности лодыжки.
Разработка ноги проходит через комплекс лечебных мероприятий.
К терапиям после снятия гипса относят:
- Упражнения лечебной физкультуры;
- Массаж.
Иногда врач выписывает направление на физиотерапию. Это помогает в период после снятия гипса укрепить костную ткань и сустав. У пациента улучшается кровообращение в повреждённом участке. Физиотерапевтические процедуры способны снять отёк с лодыжки.
Сколько потребуется времени
Если сняли гипс после перелома голеностопа, время восстановления с помощью упражнений и массажа зависит от вида повреждения. Длительная реабилитация ожидает пациентов со сложными травмами, с нарушением целостности сосудов и нервов.
Разрабатывать лодыжку потребуется в течение 2 месяцев. Успех восстановления после гипса зависит от терпения пациента.
Схема терапевтических мероприятий составляется лечащим врачом индивидуально для. В зависимости от сложности травмы лечение в виде упражнений и массажа доходит до 20 дней. Если повреждение несерьёзное, то восстановление тонуса мышц не займет больше 2 недель.
Упражнения
ЛФК входит в комплекс терапии после снятия гипса. Лечебная физкультура помогает вернуть подвижность повреждённому суставу и связкам. Первые сеансы при выполнении упражнений проводятся под наблюдением врача. После нескольких процедур выполнять лечебную физкультуру потребуется самостоятельно.
Изначально пациенту предоставляют опору, чтобы нога не сильно нагружалась. Перед проведением комплекса упражнений потребуется провести разминку.
Больному нельзя спешить с резким вставанием на повреждённую ногу. Если не использовать опору, то пренебрежение советом приводит к повторной травме конечности. Восстановление может затянуться.
Когда передвижения с опорой успешно выполняются, то доктор разрешает передвигаться и выполнять упражнения самостоятельно. Во время ЛФК нельзя нагружать повреждённую кость. Упражнения и ходьба должны быть сбалансированными с отдыхом.
Массаж
Во время реабилитации после перелома лодыжки проводят массаж. Процедура помогает улучшить кровообращение в ноге.
Происходит восстановление функциональности:
- Укрепление мышечной ткани.
- Подвижность сустава
- Активность всей ноги.
Для проведения массажа потребуется использовать крем или эфирные масла. После нескольких сеансов терапии, пациент способен самостоятельно выполнять процедуру. Когда выполняется лечебный массаж, больной не должен испытывать неприятные ощущения.
При проведении процедур для голеностопного сустава движения рук по отношению к ноге — плавные. Это требуется, чтобы не оказывалось давление на повреждённое место. Разрабатывать ногу требуется в ограниченной области.
Для выполнения терапевтического мероприятия существует определённая инструкция. При необходимости лечение совмещают с ванночками. Для этого используют морскую соль и лечебные травы.
Сколько будет болеть нога после перелома лодыжки

Стоит принимать витамины.

Обязательное условие скорейшего выздоровления — стабильное кровообращение в ноге.
После травмы долго могут проявляться болевые симптомы. Это связано с тяжестью повреждения.
Период восстановления разный:
- Перелом со смещением можно получить при падении с роликов, коньков, лыж. Возникает резкая боль. Невозможно встать на ногу. Полное выздоровление происходит через 3-4 месяца.
- Перелом без смещения случается при сильном вывихе стопы. Пациента мучают острые болевые симптомы при движении ноги в сторону. Дискомфорт наблюдается в течение 1-1,5 месяца.
Длительность симптоматики зависит от лечения, реабилитации.
Рекомендации для выздоровления
Травма лодыжки — серьезное повреждение. Ее последствия долго причиняют неудобства больному. Основная причина — чрезмерное напряжение в сломанной кости.
Для избавления от неприятных ощущений следует:
- Носить бандаж. Конструкция плотно облегает поврежденное место, забирает нагрузку, давление на себя. Бандаж препятствует повторным переломам, растяжению связок. Используется после снятия гипса.
- Обезболивающие. Метод не убирает причину боли. Он слегка улучшает состояние пациента. Носит кратковременный характер.
- Обеспечить полноценное питание. С пищей в организм должны поступать необходимые костям белки, минералы, витамины.
- Лечебная физкультура. Для пациента подбираются упражнения. Они снимут напряжение с лодыжки, уберут отек, разработают сустав и восстановят мышечный тонус, ослабленный после гипса.
- Физиотерапия. Массаж, электрофорез проводятся под наблюдением специалиста.
Нога после перелома требует правильного ухода. Выполнение общих рекомендаций приведет к скорому выздоровлению.
Возобновление двигательной функции
Степень активности пациента зависит от его общего самочувствия. Важно соблюдать режим покоя. Для передвижения пользоваться костылями, ходунками.
После снятия гипса необходимо сразу разрабатывать ногу после перелома лодыжки, ходить. Опираться на ступню правильно, нагрузку увеличивать постепенно. Сразу давать полноценную нагрузку на сустав нельзя. Голеностоп должен полностью восстановиться.
Для дополнительной опоры при ходьбе использовать костыль, трость. Восстановление ноги протекает медленно. Торопиться не стоит. Спешка в реабилитации приводит к образованию новых травм. Общий период восстановления занимает до 1-2 месяцев. В более тяжелых случаях — до 3-4 месяцев.
Возникновение дискомфорта при ходьбе
После перелома возникают болевые ощущения при долгой ходьбе. Это естественная реакция.
Случается она по следующим причинам:
- Атрофированные мышцы. Лодыжка долго находилась без движения. Мышцы не получали нагрузку. Они расслабились, потеряли тонус.
- Сбои в сосудистой и лимфатической системах. Повреждение провоцирует постоянный отек в конечности. Жидкость скапливается вокруг неподвижного сустава, давит на нервные окончания.
- Плохая эластичность связок, хрящей препятствует безболезненным движениям во время ходьбы.
Перелом лодыжки — сложная травма. Ликвидация ее последствий займет много времени. Пациент должен быть терпелив и настойчив.
Как научиться правильно ходить на костылях при переломе

Иначе, сращение может костей может затянуться и осложниться. Чтобы использование костылей было комфортным, необходимо правильно их подобрать.
Переломы конечностей лечатся несколькими способами — операция, гипсовая фиксация, протезирование. Способ лечения зависит от вида и тяжести перелома. Конечность должна быть обездвижена до сращения костей. Реабилитация после перелома лодыжки состоит из лечебной физкультуру, массажа, разработки конечностей, восстановления мышечной массы.
Повреждение лодыжки осложняется проблемой при передвижении. Нужно ходить к врачу, в аптеку за лекарствами, в магазин. Справиться помогут костыли. После снятия гипса еще некоторое время потребуется поберечь ногу до полного восстановления ее двигательных функций.
От вида лечения зависят сроки использования дополнительных опор:
- Без гипсовой фиксации — 2 месяца;
- Оперативное лечение — 2,5 месяца;
- Скелетное вытяжение — до полугода.
Костыли бывают деревянными или алюминиевыми, но оба вида достаточно прочные, выдерживают массу до 150 килограмм.
Алгоритм регулировки и использования опорных приспособлений:
- Носить обувь нужно удобную, практичную.
- Валик должен не доходить до подмышки несколько сантиметров.
- Рука, опираясь на перекладину, сгибается в локте под углом 300.
При соблюдении этих условий умеренные перемещения не будут вызывать особых трудностей. Методы передвижения с дополнительными опорами зависят от тяжести травмы — на 2 ногах или одной.
Если травма серьезная и голеностоп нуждается в полном покое, то выбирается метод хождения с помощью дополнительных опор на одной ноге. Допускается незначительная нагрузка зафиксированной лодыжки, поэтому можно ходить двумя ногами, но с опорой.
Как ходить с одной опорой
В процессе успешной реабилитации костыли не требуются. Можно использовать один или заменить его «канадкой» — трость с локтевым упором.
Канадку подбирайте тщательно, как костыли. От удобства данного приспособления зависит правильное распределение физической нагрузки. Стоит проконтролировать угол сгиба локтя, он должен составлять около 200.
Расстояние между локтем и манжетой рассчитывается по росту:
- Рост 150 см — 5 см;
- Рост 170 см — 7 см;
- Рост 180 см и выше — 10 см.
При ходьбе с тростью или канадкой ухудшается устойчивость, следует аккуратно передвигаться по скользким поверхностям, лестницам, пологим подъемам. При потере равновесия нужно постараться упасть в сторону здоровой ноги.
Использование одной опоры требует соблюдения нескольких правил:
- Канадку нужно держать в руке, противоположной поврежденной лодыжке. Оберегает травмированную лодыжку от излишних нагрузок.
- Синхронное движение трости и травмированной нижней конечности.
- Больший упор делается на канадку, чем на больной голеностоп.
Правильно организованная реабилитация после снятия гипса, соблюдение рекомендация врача обеспечивает правильное сращение костей. Быстро восстанавливаются двигательные функции конечности. Массаж обеспечивает приток крови перелому, что ускоряет процесс выздоровления.
Костыли нужно использовать ровно столько, сколько требуется костной мозоли для образования прочного сращения. Как только это произойдет, необходимо отказаться от опор, начинать разрабатывать ногу после перелома лодыжки, делать физические упражнения и постепенно повышать нагрузки поврежденной конечности.
Лечебная физкультура (ЛФК) и упражнения при переломах лодыжки

Длительный период восстановления необходим для скорого восстановления. Соблюдайте рекомендации врачей!

Для улучшения прочности мышц и придания им эластичности используют массаж. Голень массируют, направляя движения от стопы к колену и меняя динамическую нагрузку на статическую.
Ногу нужно поднять вверх на 2-3 часа для улучшения трофики, и завершить восстановительную процедуру.
Примеры упражнений чтобы разработать ногу после перелома лодыжки.
Комплекс движений, производимых сидя:
- Сгибание и разгибание коленного сустава.
- Работа стопой. Ее сгибают и разгибают в плоскости, перпендикулярной лобной кости. Стопой производят движения по кругу. Эти движения допустимы только после отчетливого определения костной мозоли при обследовании.
- Работа с мячом. Мячик (не крупнее яблока) катают стопой взад и вперед. Вращательные движения допускаются после снятия гипса.
- Упражнение с валиком. Небольшой валик и плотный цилиндрический предмет диаметром не больше 15 см катают так же, как и мячик.
Стоя:
- Присесть с опорой;
- Проделать неглубокие выпады;
- Ходить по поверхности, установленной под наклоном.
Если после травмы голеностопа появилось плоскостопие, то ежедневно проделывайте упражнения для свода стопы:
- Встать, выпрямиться, двигать пальцами стоп так, словно передвигаться по полу только с их помощью.
- Круговые движения по направлению вовнутрь стопы.
- С помощью пальцев поднимать предметы с пола — ручку, карандаш.
Обязательно вкладывать в обувь ортопедическую стельку с супинатором. Положительно на стопу влияют упражнения на ортопедическом коврике.
Судороги икроножной мышцы, возникающие иногда как осложнения, получится победить с помощью упражнений из курса калланетики или йоги, массажа.
Медицинская зарядка
Процесс восстановления после перелома проходит поэтапно.
Его делят на периоды:
- Отеки, возникающие сразу после периода восстановления костных тканей;
- Наложение гипса на поврежденную конечность;
- Снятие гипса;
- реабилитации после перелома лодыжки.
На каждом из указанных этапов требуется своя зарядка. В период отечности ногу следует чаще приподнимать или держать ее в таком положение постоянно. Это будет способствовать лучшему оттоку лимфы.
Следует чаще двигать пальцами ноги, улучшая микроциркуляцию крови. Упражнения обычно совмещают с осторожными движениями колена. Как происходит реабилитация больного, их делают сначала лежа, затем уже сидя и — стоя.
Когда отеков нет, врачи разрешают пациентам передвигаться с наложенным на ногу гипсом. На поврежденную конечность допускается распределять такую нагрузку, чтобы она была не больше 30% от массы тела.
Передвигаться получится с использованием костылей или трости. Сначала длительность прогулок составляет не более 3 минут, а по мере выздоровления — не более часа.
Удаление металлоконструкций после перелома лодыжки, снятие пластины и спиц

Хирург извлечет из ноги металлоконструкции и проверит состояние кости. После пациенту необходимо пройти реабилитацию после перелома лодыжки.

Когда после 6 месяцев лечения отсутствует положительная динамика, возможно образование ложного сустава. Необходима консультация ортопеда. Врач может провести замену крепежа.
Извлечение металлоконструкции осуществляется хирургическим путём после регенерации или по другим причинам (индивидуальная непереносимость, разные осложнения).
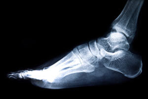
Чтобы определить оптимальный период для операции делают рентгеновские снимки, на которых видно размещение инородного тела относительно костей и степень сращивания перелома.
Оставлять конструкцию в организме дольше, чем это необходимо, нежелательно. Это может спровоцировать физиологические изменения. Удаление винта осуществляется по решению врачей.
В процедуре используются новейшие методики наркоза. Анестезиолог учитывает возраст пациента, состояние здоровья и степень тяжести травмы. Спицы извлекают под местным наркозом, выкручивая и скусывая стержни.
Удаление пластины
Пластину устанавливают обычно при переломах лодыжки и голени, когда нужно зафиксировать отломки кости. При установке доктор предупреждает о необходимости повторного оперативного вмешательства для снятия детали.
После тщательного обследования назначают плановую операцию по удалению пластины. Врач консультирует пациента о том, как правильно к ней подготовиться. При смещении крепежа и повреждении тканей проводится экстренное оперативное вмешательство.
Металлическую деталь вынимают под местным или общим наркозом. Кожу рассекают в месте первичного оперирования. Сначала выкручивают винты, затем убирают саму пластину. Операция обычно длится около 30 минут.
Сроки удаления после остеосинтеза
Врачом травматологом-ортопедом принимается решение удалить металлоконструкцию на основании данных рентгенограммы или компьютерной томографии.
Четкие признаки сращения повреждения являются основным фактором. Металлоконструкции разрешается удалять после через 8-12 мес. После остеосинтеза.
После перелома лодыжки отекает и опухает нога

Конечность отекает сразу, но иногда скопление жидкостей продолжается после гипсования и срастания.

На протяжении нескольких часов после травмирования на месте перелома может возникать сильный отек как следствие разрыва связок. На опухшее место рекомендовано прикладывать холодные предметы.
В первые сутки после перелома используют:
- Препараты, снимающие воспаление;
- Согревающие мази и гели — на вторые сутки после травмы. Наносить их на конечность нужно осторожно, без надавливаний и усилий;
- Средства, способствующие восстановлению циркуляции крови;
- Мочегонные препараты, выводящие жидкость из организма. Медикаменты можно заменить отварами из трав — тысячестника, пижмы, принимать вовнутрь масла оливковое или льняное.
Когда она уходит
Естественным считается период в несколько дней после перелома. На протяжении 2-4 дней отёчность является нормальной реакцией организма на травмирование конечности и медикаменты, используемые во время оперирования.
Если травма закрытая, то отекание ноги может продолжиться до 5 дней. Отёк может указывать на ошибки в накладывании повязок, ткань на месте перелома начинает синеть. Часто туго наложенный гипс приводит к накоплению жидкости за счет сдавливания сосудов и замедления оттока лимфы.
Нормальным считается небольшое отекание около месяца, оно сопровождает срастание суставов стоп. Отек, не проходящий в течение нескольких дней после снятия гипса, указывает на неправильно сросшиеся кости.
Отекает после снятия гипса
Процедура восстановления двигательных функций одна из длительных. В это время на сустав возвращаются незначительные нагрузки, это провоцирует скопление жидкостей. Отекание на протяжении 10 дней считается нормой после снятия гипса.
Физиотерапия:
- Нога в области перелома прогревается ультрафиолетовой лампой на протяжении 10 мин.
- Стимуляция восстановление тонуса мышц с помощью электротока.
- Согревающие процедуры, направленные на снятие отёков. Для улучшения кровотока используется мазь, снимающая отекание и ускоряющая восстановление тканей.
- Массаж и лечебная гимнастика, которую назначает врач. Восстанавливая двигательную активность полезно массажировать конечность. Массажные движения помогут разогнать лимфу и тем же возвратят нормальный кровоток.
- Иглоукалывание.
- Лечение грязями.
- Магнитотерапия.
Народная медицина рекомендует:
- Растирать отёк маслами пихты или кедра.
- Компресс из голубой глины.
- Опухшую кость поместить в теплую ванну с эфирными маслами или морской солью.
- Повязка со свежими капустными листьями или натертым свежим картофелем.
Начиная ходить, необходимо фиксировать травмированный сустав эластичным бинтом. Главная из причин отеков после перелома лодыжки — резкие нагрузки. Нельзя допускать повторных травм, ушибов и ударов. Нужно на протяжении лечения есть много продуктов, содержащих фосфор, кальций и витамин д. Важно следить за количеством потребляемой жидкости.
Отечность — признак патологии, который требует визита к травматологу. Врач определит причину отечности лодыжки и скажет, как лучше восстанавливать отток лимфы и выводить жидкость.
Реабилитация и восстановление после перелома лодыжки

Движения для пациента ограничивается на разный период, от 3 недель до 2 месяцев.
Реабилитация зависит от скорости выздоровления, длится более 14 дней.
Восстановление после травмы после снятия гипса, может содержать следующий комплекс мер:
- Питание, обогащенное кальцием.
- Массаж травмированной конечности.
- Физиотерапия, упражнения лечебной физкультуры.
- Гидротерапия.
Травма со смещением
Одна из сложнейших — травма голеностопной кости со смещением. Когда травмирование сопровождается смещением, голеностопный сустав разрывает нервные ткани, сосуды. Возвращение двигательной функции изначально зависит от правильности сопоставления поврежденных костей.
Снятие гипса в первые дни должно сопровождаться умеренным хождением. Массажная терапия поможет облегчать болевые ощущения, расслабить конечность и улучшит кровоток. Обязательно массажировать ногу до начала занятий и в конце дня.
Не раньше чем через 7 дней, после того как сняли гипс, рекомендовано начинать физически нагружать ногу.
Самостоятельно разрабатывать ногу после перелома лодыжки нужно с помощью рекомендованных упражнений:
- Приседать, поочередно делая упор на здоровую, затем на больную ногу, пытаться оторвать от пола пятки.
- Ходить поочередно на пятках и носочках.
- Катать по полу мяч поврежденной конечностью.
- Пытаться поднимать маленькие, а затем большие предметы пальцами ноги. Максимально удерживать эти предметы на весу.
Результат зависит от настойчивости, терпения больного. Регулярное выполнение таких действий поможет разработать голеностоп, вернуть двигательную функцию сустава. Важно постепенно нагружать кость, выполнять каждое движение с особой осторожностью.
Травма без смещения
Повреждения, которые не сопровождаются смещением, позволяют нагружать конечность немного больше. Изначально достаточно простых занятий, помогающих разработать сустав.
Постепенно, с осторожностью рекомендовано делать:
- Прыжок через линию двумя ногами.
- Поочередные прыжки на одной ноге, здоровой, затем поврежденной.
- Прыжки двумя конечностями по ступеням.
- Шагать по ступеням.
ЛФК
Лечебный курс по послеоперационному восстановлению функций ноги с пластиной существенно усложняется длительным затягиванием послеоперационных ран. Пока делаются перевязки, нога должна быть обездвижена. Лодыжка восстанавливается частично в течение 8 недель. Можно начинать занятия физкультурой с минимальными нагрузками.
Восстановить функции конечности пациент сможет, используя упражнения:
- Круговые движения суставом голеностопа. Движения пальцами ноги.
- Сидя делать подъемы и опускать сломанную ногу. Упражнение помогает укреплению мышц, восстановлению двигательной реакции.
- Каждый день нагружать травмированную лодыжку, поднимая и сгибая ее в колене.
- В положении лежа натягивать носочки к себе и от себя.
Восстановление при травме 2 суставов
Возобновление после травм со смещением направлено на возвращение прежней походки, полноценному функционированию сустава и передвижению без хромоты. С этой целью применяется массажный курс и физиотерапия.
Целесообразность физиотерапии при сложных переломах заключается:
- В снятии болезненных проявлений;
- В возвращении нормальной циркуляции крови в поврежденных конечностях;
- В снятии застоя лимфы, отечности;
- В укреплении костных тканей для скорейшего послеоперационного восстановления.
Физиотерапия включает такие процедуры:
- Облучение ультрафиолетом;
- Электрофорез;
- Магнитотерапия;
- Терапия ударно-волновая;
- Применение инфракрасного лазера;
- Получасовые теплые ванны;
- Поочередное применение грязей, парафина.
Сколько проходит реабилитация
Реабилитация начинается после снятия гипса и состоит с многих пунктов.
Восстановить движение голеностопа можно курсом из 10 процедур массажа, сколько же физиотерапии. Период после травмы лодыжки без осложнений затягивается на 21 день.
Сколько срастается перелом при переломе лодыжки


Учитываются физиологические особенности человека и результаты рентгеновских снимков.
Тогда врач решит, когда нужно снимать гипс.
Со смещением
Хирург вправит на место кости стопы с помощью позиционных винтов, зафиксирует голеностопный сустав, наложит гипс. С такой повязкой, пациенту нужно проходить не меньше 8 недель. Контрольный рентгеновский снимок ноги покажет, правильно ли срослись кости. При хорошем сращении повязка снимается.
Без смещения
Повреждение голеностопа без смещения — самая лёгкая форма травмы щиколотки. Хотя первые 5 дней пострадавший испытывает сильную боль и есть отёчность, по истечение этого времени они исчезают, хирург накладывает повязку.
С ней человек ходит от 4 до 8 недель. Затем разрешается постепенно наступать и переносить вес на эту ногу.
При повреждении внешней части
После операции пациенту накладывается гипс, с которым ему нужно ходить минимум 6 недель. Повязку формируют чтобы оставался доступ к повреждённому месту. Через месяц после травмы делается повторный рентген. До этого времени на ногу наступать нельзя.
При переломе латеральной лодыжки без смещения
Через неделю после травмы нужно сделать повторный снимок стопы. Тогда отёчность уйдёт и станет понятно, не произошло ли смещение кости из-за разложения костной ткани.
Если этого не произошло, накладывается гипс. Соблюдая все требования врачей по поводу лечения, ходить в повязке придётся 1,5-2 месяца. Серьёзная нагрузка на голеностоп допускается через 4 месяца после снятия фиксатора.
Этапы срастания
Этапы срастания щиколотки проходят 4 фазы:
- Резорбция. В месте перелома нарушается кровоснабжение кости, появляется воспалительный процесс. Образующаяся фиброзная ткань замедляет заживление.
- Реверсия. Клетки начинают быстро обновляться (каждые 24-72 часа), увеличивая концентрацию фибропластов. На месте некроза (омертвевшей ткани) появляется новая соединительная ткань.
- Формирование мозолей. На месте повреждения образуется костная мозоль (из-за избытка новых клеток), которая помогает срастанию кости. Процесс происходит благодаря окостенению новых клеток и длится около месяца.
- Адаптация. В течение следующего месяца мозоль начинает крепнуть (благодаря кальцию). В это время, симптомы воспаления исчезают, возобновляется нормальное кровообращение голеностопного сустава. Мозоль развивается в обратном направлении, становясь одним целым с костью.
Окончательное восстановление происходит на 4-5 месяц после травмы.
Скорость восстановления
Срок реабилитации после перелома лодыжки занимает около 6 месяцев.
Значимую роль в скорости восстановления играет:
- Возраст человека (чем он старше — тем медленнее срастается кость);
- Состояние его здоровья;
- Какие процедуры он будет делать для своего восстановления (лфк, массаж, физиопроцедуры);
- Тяжесть травмы или её локализация;
- Качество гипса: неправильно наложенная повязка (со складками, перегибами) увеличивает время лечения.
Чем быстрее человек начнёт реабилитацию, несмотря на боль, тем быстрее он поправится и восстановит двигательную активность.
Длительность ношения гипса при переломе голеностопа

Перелом требует немедленного обращения в травмпункт.

Если перелом со смещением, травматолог вправляет кость, потом фиксирует. При фиксации костная ткань срастается и восстанавливает действие конечностей.
Гипс носить нужно долго. Это зависит от полученных травм, их характера, разновидностей и осложнений.
При травме со смещением ходить в гипсе необходимо 4-5 месяцев. Если кости не смещены, то гипсовая повязка накладывается на срок от 6 до 7 недель. При повреждении голени происходит полная фиксация нижних конечностей.
При легком переломе костная ткань пробудет в гипсе от 1 до 2 месяцев.
При переломе голеностопа со смещением и без смещения потребуется правильное посттравматическое лечение после снятия. Реабилитационный период после травмы зависит от характера сложности перелома. Если травма без осложнений, то восстановление будет длиться не более 2 месяцев.
При смещении кости стопа заживает дольше, реабилитационный период затянется до шести месяцев. В процессе восстановления важным направлением является правильное питание. В пищу должен входить кальций, который поможет быстро восстановить связки.
Необходимо употреблять продукты, богатые на кремний и кальций, больше кушать:
- Цветную капусту;
- Смородину;
- Маслины;
- Творог;
- Сметану;
- Ряженку;
- Лесные орехи.
В период реабилитации не делать упор на травмированную стопу, передвижения совершать с помощью костылей. После снятия гипса, требуется пройти полный курс реабилитации, чтобы конечность смогла двигаться как прежде.
Нужно следовать назначению врача:
- Пройти курс массажа;
- Лечебных упражнений;
- Физиотерапии.
Срастание костей лодыжки после перелома зависит от возраста пациента, тяжести и вида травмы, от состояния кровотока.
У молодых, здоровых людей и у детей срастание кости происходит значительно быстрее, чем у людей пенсионного возраста.
Некоторым потребуется 2,3 месяца для заживления, иным от года до 2 лет. Стандартных периодов для срастания костей нет. Чтобы срастание кости происходило быстрее, не стоит игнорировать физиотерапию, массаж и упражнения при переломе голени, строго выполнять все предписания доктора.
Чтобы срастание ноги произошло быстро и без последствий, в момент нахождения ноги в гипсе обеспечить конечность полной неподвижностью.
Подобный перелом может произойти с каждым человеком, ведь от этой неприятности никто не застрахован. Соблюдая все рекомендации и указания лечащего доктора, травмированная нога быстро заживет.
Проявления

Таким пациентам придется долго лечиться, а затем пройти длительную реабилитацию для восстановления двигательных и опорных функций стопы.
Лодыжка является отростком кости, который создает голеностопный сустав. Данные травмы происходят при падениях, спорттренировках, при мощных ударах.
Имеется несколько типов перелома щиколотки:
- Открытый. Разрываются мягкие ткани, смещаются кости в ране. Кость выходит за границы ткани ноги, она становится видна.
- Закрытый. Повреждаются ткани внутри, кость не выходит наружу.
При переломе голеностопа появляется острая боль в стопе. Если перелом закрытый, без смещения, то сустав пронизывает приглушенная, ноющая, ежеминутно припускающая боль в голеностопе, она может возникнуть, если сустав действительно сломан.
При травме со смещением характерность болевого ощущения — острая и жгучая. Вместе с болью наблюдается формирование отека, который постепенно становится больше.
Травмированная мягкая ткань в районе лодыжки воспаляется. Это место существенно теплее прочих участков тела.
Если перелом со смещением, то не сложно увидеть явное деформирование стопы.
Повреждаются кровяные сосуды, поэтому появляются кровоподтеки.
Между щиколотками находится таранная кость, иногда она повреждается, при переломах со смещением. Эта травма является сложным видом перелома, фиксаторов для кости голеностопа не существует. Восстановление будет длительным и трудным.
Лечебный массаж

Использование разных масел улучшит ток лимфы. Чтобы не было дискомфорта (он возникает на первых этапах массажа) нужно смазывать травмированную конечность мазью с обезболивающим эффектом.
При переломе голеностопа со смещением массаж должен производиться только специалистом!
Массаж избавит от отеков и вернет тканевому покрову восприимчивость. Массажировать необходимо мышцы ноги, а не место перелома, чтобы избежать формирования костной, избыточной мозоли. Отечность стопы можно снять различными мазями, действие которых улучшает кровообращение.
Реабилитационый и физиотерапевтический периоды

Данные действия помогают улучшению кровообращения, снимут отечность, избавят от боли, а лодыжка будет быстрее заживать и выздоравливать.
Чтобы быстрее выздороветь, необходимо пройти процедуры:
- Излучение ультрафиолетом;
- Прикладывание лечебной грязи;
- Прогревание;
- Электрофорез;
- Прохождение безвредных токов.
Полезные упражнения

Лечебные занятия помогут разработать сустав, который был не подвижен.
Мышечная ткань станет вновь подвижна и эластична.
Упражнения на первых этапах совершаются под контролем лечащего врача, последующие можно проводить самостоятельно, в домашних условиях.
Продолжительность упражнений — 10 минут, постепенно увеличивая нагрузку. Если при выполнении зарядки появляются болезненные симптомы, следует на некоторое время прекратить их выполнение. Стопа требует немного отдыха.
Упражнения:
- При ходьбе опираться на больную ногу.
- Совершать круговые движения ногой.
- Выполнение перекрестных махов обеими ногами.
- Поднятие носков к верху, затем опускание пят.
Занятие должны производиться через день, по 10 минут. Выполнение упражнений совершается после прохождения боли при нагрузках.
Не допускается разрабатывать сустав в короткий промежуток времени. Усиленная нагрузка в периоды восстановления навредит травмированной ступне.
Голеностопный корсет для ноги после перелома голеностопа

Используется он в период реабилитации для восстановления двигательной активности. Подбирается индивидуально, под особенности травмы.

В зависимости от конкретной ситуации используют хирургическое вмешательство или консервативное лечение в виде наложения гипса или фиксации стопы.
Конструктивная особенность бандажей и ортезов при переломе голени дает возможность ходить в повседневной обуви и регулировать величину крепления, чтобы не испытывать дискомфорт.
Предпочтение типу Фиксатора для голеностопа отдают исходя из ряда признаков:
- Цель использования корсета;
- Вес;
- Возраст;
- Характер повреждения;
- Склонность к аллергическим реакциям.
При переломе голеностопа врачи отдают предпочтение фиксации ступни с помощью корсета. Наложенный гипс не позволит регулярно осматривать травму.
Типы конструкций
Бандаж представляет эластичное приспособление для стопы с небольшой силой фиксации. Имеет 2 дополнительных ремня для обхвата сустава по принципу бинта. Сверху конструкция доходит до щиколотки, а пальцы ног остаются свободными.
Тип фиксации лодыжки сопровождается рядом осложнений:
- Воспаление кровеносных сосудов;
- Недостаток циркуляции вен;
- Дерматит;
- Некротически-язвенные повреждения кожи;
- Сильная эмболия сосуда.
Носок представляет повязку с фиксацией мышечных тканей. Тип крепления применяют для профилактики травмирования голеностопа и после восстановления ноги, чтобы снизить болевые ощущения при занятии спортом.
Ортез — ортопедическое изделие с жесткой фиксацией отделов лодыжки с использованием металлических, пластиковых и силиконовых конструкций. Тип иммобилизационной повязки нельзя применять при открытом переломе.
Главное отличие бандажа от ортеза при травме голеностопа состоит в том, что ортез имеет конструктивное ребро жесткости. Это дает более надёжную и сильную фиксацию поврежденного участка. Бандаж удерживает движение сустава, а не ограничивает его плоскость.
Рекомендации для быстрого выздоровления при переломе голеностопа:
- Не нужно самостоятельно выбирать для себя тип перевязки или корсета и заниматься самолечением. Нужно сразу обратиться в больницу, где врач определит нужный способ перевязки и назначит курс реабилитации;
- При установлении повязки соблюдайте баланс натяжения. При слабой фиксации теряется смысл конструкции, а при сильной нарушается кровоток в отделы стопы, приводящий к дополнительной боли и онемению.
- Использование фиксирующих устройств должно использоваться в комплексе с восстановительными процедурами. Это массаж, прогревание или физические упражнения.
Срок использования
При переломе голеностопа ношение фиксированного корсета в среднем составляет от 1 до 3 месяцев. Точный срок ежедневного крепления конструкции определяет только лечащий врач. После заживания травмы бандаж стоит надевать во время занятием спортом и физических нагрузок для снижения угрозы нового повреждения.
Адаптация к корсету происходит постепенно. В первый сутки надевают на один час. Контролируют самочувствие больного. В дальнейшем период фиксации повышается до 6 часов в сутки. Ночью и во время отдыха бандаж снимается, а ногу лучше положить на возвышение. Это снизит отек суставов в первые недели после травмы.
Полное привыкание к фиксированной ноге наступает со 2 по 6 неделю. Критерий индивидуален и зависит от тяжести травмы стопы и выбранного бандажа.
Повреждение косточки голеностопа
До 60% всех повреждений голеностопа приходятся на лодыжку, это связано с огромной весовой нагрузкой на нее и незащищенностью, связанной с особенностями анатомического строения.
Чтобы лодыжка после перенесенной травмы полностью восстановилась, требуется долго, иногда травма в этой области приводит к инвалидности.
Голеностоп состоит из латеральной и медиальной лодыжек. Их повреждение — чаще результат сильного удара, приходящегося на прямые ноги при прыжке, беге, упавшей тяжести на стопу, неудачного подворачивания ноги при беге или ходьбе.
При подворачивании стопы во внутреннюю сторону удар приходится на медиальную лодыжку. Подгибая при ударе стопу наружу, возникает риск перелома латеральной лодыжки.
Имеют место случаи одновременного перелома обеих лодыжек, когда стопа при воздействии на нее удара остается в неподвижном состоянии. Удар провоцирует дополнительный вывих стопы.
Лечение, реабилитационный период
Диагностирование влечет обращение за врачебной помощью к специалистам. Не менее важно правильно оказать первую помощь для облегчения состояния и предотвращения кровопотери в случае открытого перелома.
К методам первой медицинской неотложной помощи относятся:
- Наложение шины при закрытой форме травмы для обеспечения неподвижности голеностопа. Нога фиксируется в местах выше и ниже. Вместо установки шины поврежденный сустав можно зафиксировать подручными средствами, например, прибинтовать к доске.
- Принятие обезболивающего препарата для предотвращения возникновения болевого шока.
- Обкладывание больного места при закрытом переломе льдом для сокращения отечности, предотвращения распространения гематомы.
- Наложение жгута при кровотечении.
Травмы закрытой формы лечатся консервативным методом: в зависимости от особенностей травмы накладывается гипс в форме сапожка или корсета для ноги после перелома голеностопа, который не снимается 3 месяца, пока кость голеностопа и связка полностью не будут восстановлены. На полное восстановление функциональности нижней конечности требуется 4 месяца.
Лечение травмы со смещением требует хирургического вмешательства и проведения остеосинтеза — операции по восстановлению целостности поврежденной кости и фиксации отломков с помощью металлических пластин, спиц и винтов. Через год конструкция удаляется при повторной операции.
После проведения лечения, для полного восстановления функциональной способности голеностопного сустава требуется реабилитация — период, в течение которого выполняются предписанные врачебные рекомендации.
Реабилитационные процедуры:
- Массаж;
- Лечебная гимнастика;
- Электрофорез;
- Правильное питание ( с достаточным количеством кальция, аминокислот, коллагена);
- Лекарственные препараты;
- Физическая активность: пешие прогулки, подъем по лестнице;
- Плавание.
Все эти меры помогают восстановлению подвижности стопы, снимают ее отечность, помогают разработать сустав, чтобы перенесенная травма осталась далеко в прошлом и не препятствовала нормальному функционированию голеностопа.
Вопрос-ответ
Каковы основные симптомы перелома лодыжки?
Основные симптомы перелома лодыжки включают сильную боль в области лодыжки, отек, синяки, затруднение при ходьбе или невозможность встать на ногу, а также деформацию сустава в случае серьезного повреждения.
Как проходит лечение перелома лодыжки?
Лечение перелома лодыжки может варьироваться в зависимости от тяжести травмы. В легких случаях может быть достаточно иммобилизации с помощью гипса или бандажа. В более серьезных случаях может потребоваться хирургическое вмешательство для восстановления правильного положения костей и стабилизации сустава.
Как долго длится восстановление после перелома лодыжки?
Время восстановления после перелома лодыжки зависит от степени травмы и метода лечения. Обычно процесс заживления занимает от 6 до 12 недель, но полное восстановление функции ноги может занять несколько месяцев, включая реабилитацию и физическую терапию.
Советы
СОВЕТ №1
Обратитесь к врачу сразу после травмы. Даже если вы чувствуете, что перелом незначительный, важно пройти рентген и получить профессиональную оценку состояния лодыжки. Это поможет избежать осложнений и ускорит процесс восстановления.
СОВЕТ №2
Следуйте рекомендациям по реабилитации. После получения медицинской помощи важно выполнять все предписания врача, включая физическую терапию и упражнения для восстановления подвижности. Это поможет вам быстрее вернуться к обычной активности.
СОВЕТ №3
Используйте подходящие средства для поддержки. В зависимости от тяжести перелома, вам могут понадобиться специальные бандажи, ортезы или костыли. Использование этих средств поможет снизить нагрузку на поврежденную лодыжку и предотвратить повторные травмы.
СОВЕТ №4
Обратите внимание на питание. Убедитесь, что ваш рацион богат кальцием и витамином D, которые способствуют укреплению костей. Это особенно важно в период восстановления после перелома, чтобы ускорить заживление и предотвратить будущие травмы.










