
Период ношения гипса при переломе

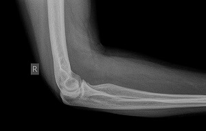
Сломанная кость в этой области не несет особой опасности для жизни, сколько будет срастаться сустав, напрямую будет зависеть от физического состояния и возраста пациента. При переломе головки лучевой кости понадобиться наложить гипс. Лечение длиться от 1 до 3 месяцев. Чем меньше возраст больного, тем быстрее восстановится рука. У пожилых людей восстановление идет медленнее.
Снять гипсовую повязку можно только тогда, когда повреждение ликвидируется за счет нарастания костной мозоли, в образовании которой участвует костный мозг. Примерно в течение 10 недель локтевой сустав полностью восстанавливает функциональность.
Вывих или другие осложнения могут увеличить продолжительность ношения гипса до нескольких месяцев. Хирургическое лечение назначается, если есть отломок: потребуется репозиция для восстановления анатомической целостности кости. Если же смещение исключено, достаточно иммобилизовать конечность на период не более 1,5 месяца. При открытых переломах время ношения гипса зависит от того, какое лечение выбрано.
Врачи отмечают, что лечение перелома головки лучевой кости требует комплексного подхода. В зависимости от характера и степени повреждения, может быть рекомендовано как консервативное, так и хирургическое вмешательство. Консервативное лечение включает иммобилизацию с помощью гипса или шины, что позволяет кости зажить в правильном положении. Хирургическое вмешательство, в свою очередь, может потребоваться при смещении фрагментов или наличии осложнений.
Реабилитационный период играет ключевую роль в восстановлении функции руки. Врачи подчеркивают важность раннего начала физиотерапии, которая помогает восстановить подвижность и силу. Упражнения на растяжение и укрепление мышц должны быть индивидуализированы и проводиться под контролем специалиста. Также важно учитывать психологический аспект реабилитации, так как восстановление после травмы может быть длительным и требовать терпения. В целом, успешное лечение и реабилитация зависят от своевременной диагностики, адекватного лечения и активного участия пациента в процессе восстановления.

Реабилитация после перелома
Чтобы локоть начал работать, назначают:
- Массажи;
- Физиотерапевтическое лечение;
- Леченую физкультуру.
Каждый пациент нуждается в индивидуальном подходе. Реабилитация назначается в зависимости от характера повреждений, методов лечения. Точность выполнения рекомендаций травматолога — обязательное условие для скорейшего выздоровления.
Головка лучевой кости локтя требует восстановления нормального кровотока (помогают массажи). Мышечные ткани быстрее восстановятся, предплечье возобновит нормальное функционирование. Процесс продлится не менее месяца.
Лечение закрытых переломов
При лечении любых переломов, и лучевых костей, первоочередными задачами являются:
- Вернуть полноценное движение руки;
- Возобновить естественное движение суставов, предплечья;
- Провести профилактику посттравматических осложнений: развития артроза и других типичных заболеваний.
Неосложненные закрытые переломы, лечатся иммобилизацией. Используется гипс, жесткий ортез на руку при переломе лучевой кости или полимерная повязка. После месяца ношения такие повязки снимаются и начинается реабилитация локтевого сустава.
Лечение перелома головки лучевой кости часто вызывает у пациентов множество вопросов и опасений. Многие отмечают, что после травмы важно не только правильно зафиксировать поврежденную область, но и уделить внимание реабилитации. Врачи рекомендуют начинать с легкой физической активности, чтобы избежать атрофии мышц и сохранить подвижность сустава. Пациенты делятся, что занятия с физиотерапевтом значительно ускоряют восстановление, а специальные упражнения помогают вернуть руку в прежнее состояние. Однако, некоторые отмечают, что реабилитационный период может быть длительным и требует терпения. Важно следовать рекомендациям специалистов и не прерывать курс лечения, чтобы избежать осложнений и обеспечить полноценное восстановление.

Терапия трещин головки
Не всегда падение на локти ведет к переломам. Результатом часто становится образование трещин, ушибов, которые по-своему опасны. Изначально к поврежденному месту прикладывают холод, для уменьшения болезненности, отечности. Обязательно обследование у травматолога.
Основная задача лечения — обеспечить условия для скорейшего восстановления целостности кости. Использование лекарственных препаратов, мазей, компрессов не эффективно.
Накладывается гипсовая повязка, постельный режим — по показаниям. При усложненных травмах может назначаться комплекс витаминов и минеральных веществ. Все эти действия направлены на скорейшее наращивание костной мозоли.
Вопрос-ответ

Как долго следует соблюдать покой при переломе головки лучевой кости?
Полное заживление перелома головки лучевой кости или шейки может занять до 6 недель. В это время не нагружайте сустав поднятием тяжестей. Не возвращайтесь к контактным видам спорта, пока не пройдет не менее 6 недель после травмы.
Сколько проходит реабилитация после перелома лучевой кости?
Тип перелома. Простые переломы без смещения позволяют вернуться к обычным нагрузкам уже через 1,5–2 месяца после начала реабилитации. При сложных травмах этот срок может растягиваться до 3–6 месяцев.
Советы
СОВЕТ №1
Обязательно следуйте указаниям врача и не пренебрегайте назначенной терапией. Это включает в себя как медикаментозное лечение, так и рекомендации по физической активности. Соблюдение всех предписаний поможет ускорить процесс заживления.
СОВЕТ №2
Регулярно выполняйте назначенные упражнения для восстановления подвижности и силы в руке. Начинайте с легких упражнений, постепенно увеличивая нагрузку по мере улучшения состояния. Это поможет избежать осложнений и восстановить функциональность конечности.
СОВЕТ №3
Обратите внимание на питание. Убедитесь, что ваш рацион богат кальцием и витамином D, которые способствуют укреплению костей. Включите в меню молочные продукты, рыбу, орехи и зелень.
СОВЕТ №4
Не забывайте о психоэмоциональном состоянии. Перелом может стать источником стресса и беспокойства. Практикуйте методы релаксации, такие как медитация или дыхательные упражнения, чтобы поддерживать позитивный настрой в процессе реабилитации.
